Dasar Teori: Mengapa Identifikasi Candida Penting?
Candida spp. merupakan ragi oportunistik yang dapat menyebabkan kandidiasis superfisial (misalnya oral/vaginal), infeksi terkait alat (kateter), hingga kandidemia. Identifikasi yang tepat mendukung pemilihan terapi antijamur dan kontrol infeksi.
Alur Praktik di Laboratorium (ringkas)
- Kultur primer: inokulasi ke SDA (atau media lain yang digunakan di lab), inkubasi 24–48 jam.
- Observasi koloni: warna dominan, tekstur (creamy vs kasar), elevasi, tepi koloni.
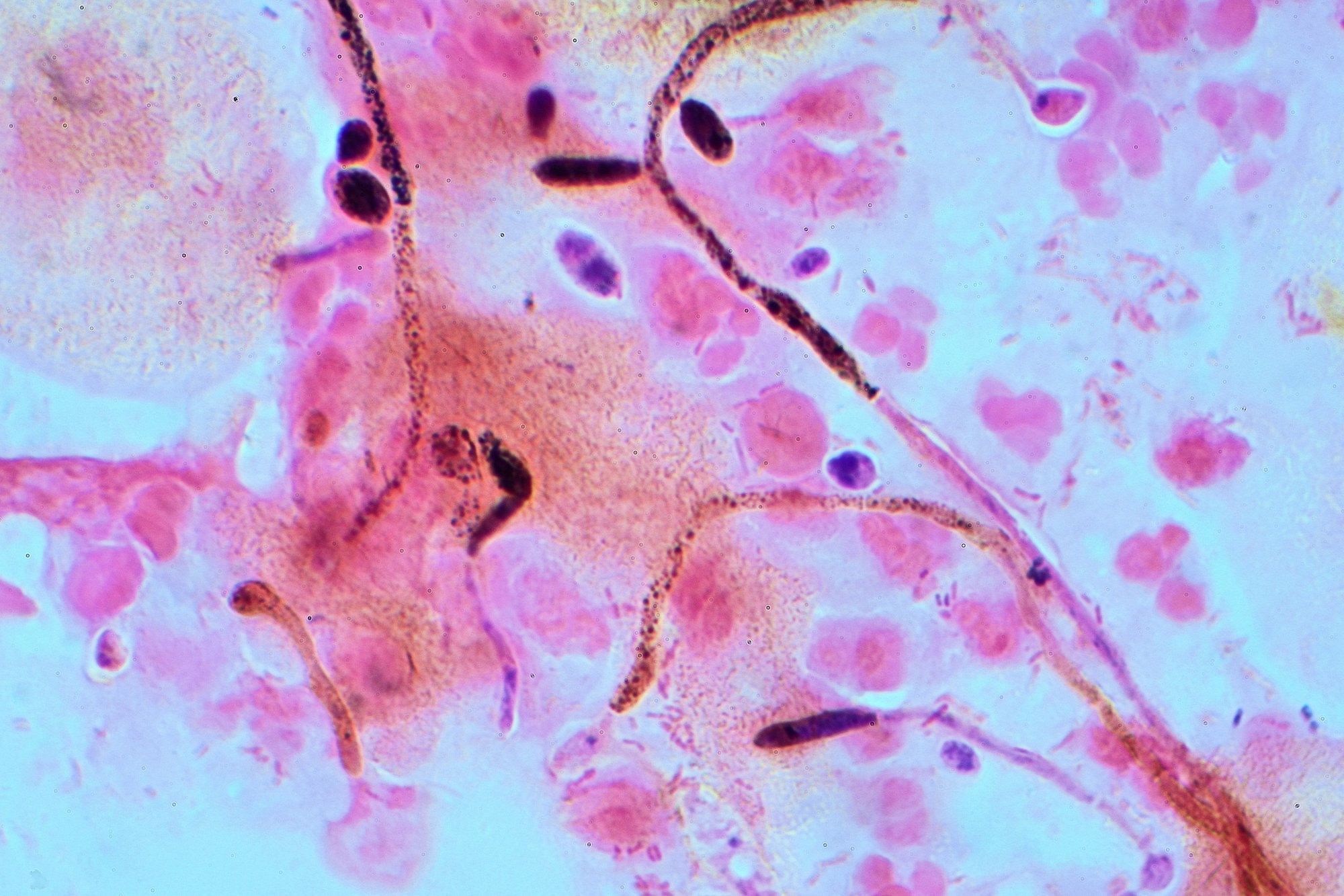
- Preparat mikroskopis (misal: Gram stain / LPCB sesuai SOP): amati blastokonidia, pseudohifa, hifa sejati.
- Uji cepat: Germ tube test (skrining cepat C. albicans kompleks), uji klamidospora pada Cornmeal agar (CMA), dan/atau media kromogenik.
- Uji konfirmasi (bila tersedia): panel biokimia/automated ID atau metode molekuler rujukan.
Contoh Visual (mikroskopis)
Germ tube (contoh) dan gambaran sel pada pewarnaan.
Cara Penggunaan Kunci Interaktif
Pilih karakter yang diketahui; sistem akan menyaring spesies yang konsisten dengan pilihan tersebut. Tidak wajib memilih semua karakter jika masih ragu.
- Karakter kuat: germ tube (+/−), klamidospora (+/−), pola warna pada media kromogenik.
- Karakter pendukung: tekstur koloni, kecenderungan pseudohifa/hifa.
- Strategi: mulai dari karakter paling “diskriminatif”, lalu tambahkan karakter pendukung.